阿公阿嬤碎碎唸(Murmur Denver & Karen) 一對擁有十二隻狗女兒及狗孫子女,享受人狗一家的老夫妻平凡生活記趣。
首頁
關於我們
關於我們
加入我們
聯繫我們
樂狗咖啡(2001~2005)
樂狗農莊(2004~2007)
第零章
第一章
第二章
第三章 新居落成
犬貓以食為天(寵物鮮食)
千金少爺們的點點滴滴
凱倫的白日夢
毛孩日常Petdaily
一陽指與馬殺雞
FAQ問答集
鮮食與營養
行為訓練
毛孩健康鮮食同好會
首頁
»
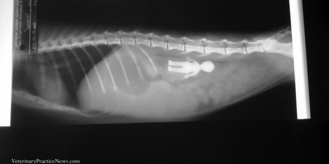
收好你的襪子、黃色小鴨跟燈泡!不然它們會出現在你家毛小孩胃裡!
»
xraykittenalien(1)
xraykittenalien(1)
作者:
Karen Lu
2014-09-07
在
迴響已關閉
使用FB留言意見
2014-09-07
Karen Lu
分享!
關於 Karen Lu
上一篇:
收好你的襪子、黃色小鴨跟燈泡!不然它們會出現在你家毛小孩胃裡!
相關文章
生活在他方,一切如常才是日常
2022-10-10
<一陽指與馬殺雞>毛孩犬貓經絡穴位圖集應用:犬貓下泌尿道感染及結石按摩穴位
2022-06-23
吃錯了,最貴
2021-12-19
今天,你會來嗎?
2021-12-19
犬貓該吃昆蟲嗎?
2021-11-14
留言功能關閉
回到最上方